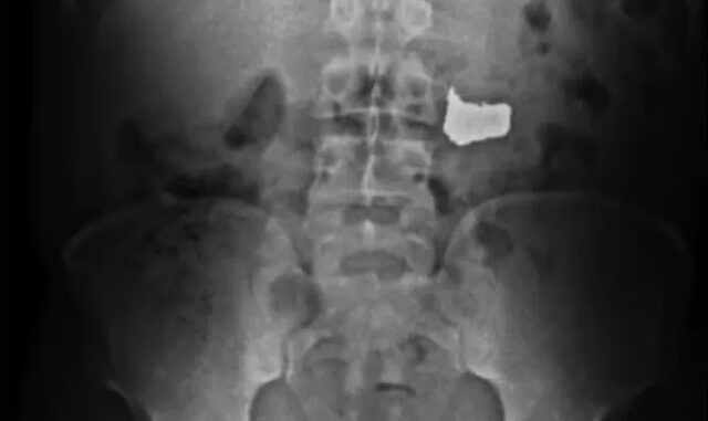
Um homem foi preso na sexta-feira (19), suspeito de roubar uma corrente de ouro que pertence uma mulher, no bairro da Barra, em Salvador. Para tentar escapar do flagrante, ele engoliu o acessório, que foi detectado através de exame de radiografia.
De acordo com a Secretaria de Segurança Pública da Bahia, equipes da Polícia Militar faziam patrulhamento de rotina na região da orla, quando uma senhora informou aos agentes que teve uma corrente de ouro roubada por um homem.
A vítima forneceu as características físicas do suspeito e os policiais iniciaram a varredura pela área. Na Rua Professor Lemos Brito – que também dá nome a um presídio da capital baiana – ele foi localizado.
Segundo o órgão, antes de ser detido, na frente dos militares, o homem engoliu a corrente para tentar escapar da prisão. Ele foi levado, inicialmente, para a Unidade de Pronto Atendimento (UPA) dos Barris, onde passou por exames. Através de raio-x, foi atestada a presença da corrente no organismo do suspeito, que não teve nome divulgado.
Após ter sido liberado pela equipe médica da unidade de saúde, o homem foi apresentado na Central de Flagrantes. Não há detalhes se ele permanece no local neste sábado (20) ou se foi levado para outra delegacia. Também não foi informado se a corrente foi devolvida para a proprietária.

Faça um comentário